VENTANA PD-L1 (SP142) ASSAY
Para visualizar el contenido completo de la IPPA (información para prescribir amplia), deberá iniciar sesión.
INTERPRETACIÓN DE LAS TINCIONES Y RESULTADOS PREVISTOS:
El procedimiento de inmunotinción automatizada VENTANA hace que un producto de reacción de color marrón DAB se precipite en los sitios del antígeno localizados por el anticuerpo de VENTANA PD-L1 (SP142) ASSAY. El portaobjetos con tinción lo debe interpretar un anatomopatólogo cualificado con microscopía óptica. Un anatomopatólogo cualificado con experiencia en procedimientos de inmunohistoquímica (IHC) debe evaluar los controles tisulares y calificar el producto con tinción antes de interpretar los resultados.
Interpretación del control tisular de amígdala:
El control tisular de amígdala con tinción se debe estudiar para comprobar que la tinción es adecuada. La presencia de tinción de PD-L1 en los macrófagos y los linfocitos de los centros germinales y en el epitelio de la cripta reticulada de la amígdala actúan como elementos de tejido positivos. La ausencia de tinción en el epitelio escamoso superficial y en las células inmunitarias negativas de las regiones interfoliculares de la amígdala actúan como elementos negativos del tejido. Los criterios de aceptabilidad se enumeran en la Tabla 5. (Consulte las guías de interpretación para obtener más información al respecto.)
Si el control tisular no presenta la tinción correspondiente, los resultados de las muestras del paciente se deben considerar no aptos para su evaluación y será preciso repetir la tinción.
Tabla 5. Criterios de evaluación del control tisular de amígdala
|
Aceptable |
Inaceptable |
|
Elementos de tejido positivos: Presencia de tinción de moderada a fuerte de PD-L1 en linfocitos y macrófagos de los centros germinales con tinción difusa en células epiteliales de la cripta reticulada. |
Tinción de fondo no específica excesiva que impide la identificación de las células positivas en PD-L1. |
|
Elementos de tejido negativos: Células inmunitarias negativas en PD-L1 en las regiones interfoliculares con epitelio escamoso superficial negativo. |
Presencia de tinción de moderada a nula de PD-L1 en linfocitos y macrófagos de los centros germinales y en células epiteliales de la cripta reticulada. |
Control de reactivo negativo:
La tinción no específica, de estar presente, tiene un aspecto difuso y se puede evaluar mediante el portaobjetos de control de reactivo negativo teñido con Rabbit Monoclonal Negative Control Ig. Se deben utilizar células intactas para la interpretación de los resultados de tinción, ya que la tinción de las células necróticas o degeneradas suele ser no específica. Si la tinción de fondo es excesiva, los resultados de las muestras de la prueba se deben considerar como no válidos. Los ejemplos de tinción de fondo de este ensayo se pueden encontrar en las guías de interpretación.
Tejido del paciente:
Las células tumorales (TC) se puntúan en función del porcentaje de células tumorales con presencia de tinción de membrana de PD-L1 apreciable de cualquier intensidad. Las células inmunitarias que infiltran el tumor (IC) se puntúan en función de la proporción del área tumoral, incluidos el estroma peritumoral asociado y contiguo, que ocupa la tinción con PD-L1 de IC de cualquier intensidad. Es preciso evaluar el tejido del paciente de acuerdo con el algoritmo de puntuación VENTANA PD-L1 (SP142) ASSAY específico de la indicación que se suministra en la sección Características de rendimiento para esa indicación. Consulte la guía de interpretación específica de la indicación para obtener instrucciones adicionales e imágenes representativas.
USO PREVISTO:
VENTANA PD-L1 (SP142) ASSAY está destinado a su uso en laboratorio para la detección cualitativa inmunohistoquímica del ligando de muerte programada 1 (PD-L1) mediante microscopía óptica en células tumorales y células inmunitarias que infiltran el tumor de los tejidos fijados con formol y embebidos en parafina (FFPE) que se indican a continuación teñidos con OptiView DAB IHC Detection Kit y OptiView Amplification Kit en un instrumento BenchMark IHC/ISH.
La determinación del estado de PD-L1 es específica de la indicación y su evaluación debe sustentarse en la proporción del área del tumor que ocupan las células inmunitarias que infiltran el tumor (% de IC) con expresión de PD-L1 de cualquier intensidad o el porcentaje de células tumorales (% de TC) con expresión de PD-L1 de cualquier intensidad.

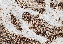
Figura 1. PD-L1 en cáncer de pulmón de células no pequeñas.
Consulte las tablas que aparecen a continuación para ver los tipos de tumor específicos y las aplicaciones clínicas. Consulte el etiquetado del correspondiente fármaco para ver las recomendaciones clínicas relativas a la expresión de PD-L1.
Tabla 1. Indicaciones de uso de las pruebas diagnósticas con fines terapéuticos
|
Tipo de tumor |
Valor de corte de la expresión de PD-L1 |
Aplicación clínica |
|
Carcinoma urotelial |
≥ 5% de IC |
La expresión de PD-L1 en las células inmunitarias que infiltran el tumor (IC) que detecta el VENTANA PD-L1 (SP142) ASSAY en el carcinoma urotelial está indicada para ayudar a identificar a los pacientes a los que se podría aplicar el tratamiento con TECENTRIQ (atezolizumab). |
|
Carcinoma de mama triple negativo (TNBC) |
≥ 1% de IC |
La expresión de PD-L1 en las células inmunitarias que infiltran el tumor (IC) que detecta el VENTANA PD-L1 (SP142) ASSAY en el TNBC se indica para ayudar a identificar a los pacientes a los que se podría aplicar el tratamiento con TECENTRIQ (atezolizumab). |
|
Cáncer de pulmón de células no pequeñas (NSCLC) |
≥ 50% TC o ≥ 10% IC |
La expresión de PD-L1 en la membrana de las células tumorales (TC) o en las células inmunitarias que infiltran el tumor (IC) que detecta el VENTANA PD-L1 (SP142) ASSAY en el NSCLC se indica para ayudar a identificar a los pacientes a los que se podría aplicar el tratamiento con TECENTRIQ (atezolizumab). |
Tabla 2. Instrucciones de uso adicionales
|
Tipo de tumor |
Valor de corte de la expresión de PD-L1 |
Aplicación clínica |
|
Cáncer de pulmón de células no pequeñas (NSCLC) |
≥ 50% TC o ≥ 10% IC |
La expresión de PD-L1 en la membrana de las células tumorales (TC) o en las células inmunitarias que infiltran el tumor (IC) que detecta el VENTANA PD-L1 (SP142) ASSAY en el NSCLC puede asociarse a un mayor beneficio para el paciente al que se administra el tratamiento con TECENTRIQ (atezolizumab). |
|
≥ 1% de TC o ≥ 1% IC |
La expresión de PD-L1 en la membrana de las células tumorales (TC) o en las células inmunitarias que infiltran el tumor (IC) que detecta el VENTANA PD-L1 (SP142) ASSAY en el NSCLC puede asociarse a un mayor beneficio para el paciente al que se administra el tratamiento con TECENTRIQ (atezolizumab). |
La interpretación de los resultados de la prueba de este producto debe correr a cargo de un anatomopatólogo cualificado junto con un examen histológico, la información clínica pertinente y los controles adecuados.
Este producto está destinado para uso diagnóstico in vitro (IVD).
ALMACENAMIENTO Y ESTABILIDAD:
Tras la recepción y cuando no se utilice, consérvese de 2-8°C. No lo congele.
Para garantizar una dispensación adecuada del reactivo y la estabilidad del anticuerpo, vuelva a poner el tapón del dispensador después de cada uso y almacene inmediatamente el dispensador en la nevera, en posición vertical.
Todos los dispensadores de anticuerpos tienen una fecha de caducidad. Si se almacena correctamente, el reactivo se mantendrá estable hasta la fecha indicada en la etiqueta. No usar el reactivo después de la fecha de caducidad.
MATERIAL SUMINISTRADO:
VENTANA PD-L1 (SP142) ASSAY contiene reactivo suficiente para 50 pruebas.
Un dispensador de 5 mL de VENTANA PD-L1 (SP142) ASSAY contiene aproximadamente 36 μg de anticuerpo monoclonal de conejo.
El anticuerpo se diluye en un tampón salino formado por Tris, EDTA y Brij-35 con una proteína transportadora y azida sódica, un conservante.
La concentración del anticuerpo específico es aproximadamente de 7 μg/mL.
VENTANA PD-L1 (SP142) ASSAY contiene un recombinante de anticuerpo monoclonal de conejo producido como sobrenadante de un cultivo celular purificado.
Consulte la guía de interpretación correspondiente para obtener instrucciones detalladas en cuanto a la interpretación de la tinción con VENTANA PD-L1 (SP142) ASSAY para indicaciones específicas:
VENTANA PD-L1 (SP142) ASSAY Interpretation Guide for Urothelial Carcinoma (P/N 1015704)
VENTANA PD-L1 (SP142) ASSAY Interpretation Guide for NSCLC ≥ 50% TC or ≥ 10% IC Stepwise Scoring Algorithm (P/N 1015703)
VENTANA PD-L1 (SP142) ASSAY Interpretation Guide for NSCLC ≥ 1% TC or ≥ 1% IC Stepwise Scoring Algorithm (P/N 1015654)
VENTANA PD L1 (SP142) ASSAY Interpretation Guide for TNBC (P/N 1018231)
Consulte la hoja de datos del kit de detección VENTANA correspondiente para obtener descripciones detalladas de los siguientes aspectos: Principio del procedimiento, Material y métodos, Recogida y preparación de muestras para análisis, Procedimientos de control de calidad, Resolución de problemas, Interpretación de los resultados y Limitaciones.
MATERIALES NECESARIOS PERO NO SUMINISTRADOS:
No se suministran reactivos de tinción, como kits de detección VENTANA, ni componentes auxiliares, incluyendo portaobjetos de control de tejido negativos y positivos.
Puede que no todos los productos que aparecen en la hoja de datos estén disponibles en todos los lugares. Consulte al representante local de asistencia técnica de Roche.
No se suministran los reactivos y materiales siguientes, pero pueden ser necesarios para la tinción:
1. Tejidos de amígdala humana benignos para su uso como tejido de control
2. Rabbit Monoclonal Negative Control Ig (nº de cat. 790-4795/06683380001)
3. Portaobjetos para microscopio con carga positiva
4. OptiView DAB IHC Detection Kit (nº de cat. 760-700/06396500001)
5. OptiView Amplification Kit (nº cat. 760-099/06396518001 [50 pruebas] o nº cat. 860-099/06718663001 [250 pruebas])
6. EZ Prep Concentrate (10X) (nº cat. 950-102/05279771001)
7. Reaction Buffer Concentrate (10X) (nº cat. 950-300/05353955001)
8. LCS (Predilute) (nº cat. 650-010/05264839001)
9. ULTRA LCS (Predilute) (n.º cat. 650-210/05424534001)
10. Cell Conditioning Solution (CC1) (n.º cat. 950-124/05279801001)
11. ULTRA Cell Conditioning Solution (ULTRA CC1) (nº cat. 950-224/05424569001)
12. Hematoxylin II (nº cat. 790-2208/05277965001)
13. Bluing Reagent (nº de cat. 760-2037/05266769001)
14. Equipo de laboratorio de uso general
15. Instrumento BenchMark IHC/ISH
PROCEDIMIENTOS DE CONTROL DE CALIDAD:
Rabbit Monoclonal Negative Control Ig:
Se debe utilizar el correspondiente portaobjetos de control de reactivo negativo en cada muestra como ayuda para la interpretación de los resultados. Rabbit Monoclonal Negative Control Ig es el anticuerpo de control de reactivo negativo específico para este ensayo y se utiliza en lugar del anticuerpo primario para evaluar una tinción no específica. El procedimiento de tinción del control de reactivo negativo debe ser idéntico al periodo de incubación del anticuerpo primario. El uso de un reactivo de control negativo diferente o no usar el reactivo de control negativo recomendado puede dar lugar a la obtención de resultados erróneos.
Control tisular de amígdala:
Se debe incluir un control tisular en cada sesión de tinción. Es preciso utilizar el tejido de amígdala humano benigno cualificado como control. El tejido de control se debe fijar y procesar con la mayor inmediatez posible de forma idéntica a la que se ha utilizado con los tejidos del paciente. Estos tejidos se utilizan para hacer un seguimiento de todos los pasos que conlleva el proceso, desde la preparación del tejido hasta la tinción. El tejido de amígdala contiene elementos de tinción positivos y negativos para la proteína PD-L1 y, por tanto, es adecuado para su uso como control tisular. Los componentes de tinción positiva y negativa del tejido sirven para comprobar que el ensayo ha funcionado correctamente.
La tinción correcta de los componentes de tejido de amígdala se describe en la Tabla 5 y en la guía de interpretación.
Verificación del ensayo:
Antes de comenzar a utilizar un anticuerpo o un sistema de tinción en un procedimiento diagnóstico, se debe comprobar la especificidad del anticuerpo mediante pruebas en una serie de tejidos que contengan características de rendimiento en inmunohistoquímica (IHC) conocidas y que reflejen tejidos positivos y negativos en PD-L1 (consulte la sección Procedimientos de control de calidad que se ha mencionado anteriormente en esta sección y que se encuentra en la hoja de datos del producto y las recomendaciones sobre control de calidad de College of American Pathologists Laboratory Accreditation Program, Anatomic Pathology Checklist15 o CLSI Approved Guideline16). Estos procedimientos de control de calidad deben repetirse para cada nuevo lote de anticuerpo nuevo o cuando se produzca un cambio en los parámetros del ensayo. Los tejidos de carcinoma urotelial, NSCLC y TNBC con estado de PD-L1 conocido y las muestras de amígdala humana benigna son aptos para la verificación del ensayo.
ADVERTENCIAS Y PRECAUCIONES:
1. Para uso diagnóstico in vitro (IVD).
2. Solo para uso profesional.
3. No utilizar por encima del número especificado de ensayos.
4. Los portaobjetos con carga positiva pueden verse afectados por presiones ambientales, dando lugar a una tinción incorrecta. Póngase en contacto con su representante de servicio de Roche para obtener más información sobre el uso de este tipo de portaobjetos.
5. Los materiales de origen animal o humano deben manipularse como materiales biopeligrosos y eliminarse con las precauciones adecuadas. En caso de exposición, deberán seguirse las directivas sanitarias de las autoridades responsables.13,14
6. Evite el contacto de los reactivos con los ojos y las membranas mucosas. Si los reactivos entran en contacto con zonas sensibles, lávelas con agua abundante.
7. Evite la contaminación microbiana de los reactivos, dado que podría dar lugar a resultados incorrectos.
8. Para obtener más información sobre el uso de este dispositivo, consulte el Manual del usuario del instrumento BenchMark IHC/ISH y las instrucciones de uso de todos los componentes necesarios que puede encontrar en navifyportal.roche.com.
9. Consultar a las autoridades locales y/o estatales sobre el método de eliminación recomendado.
10. El etiquetado de seguridad de los productos sigue principalmente las directrices del SGA de la UE. Está disponible bajo petición la hoja de datos de seguridad para los usuarios profesionales.
11. Para comunicar la sospecha de incidentes graves relacionados con este dispositivo, póngase en contacto con su representante local de servicio Roche y con las autoridades competentes del Estado o País Miembro de residencia del usuario.
LIMITACIONES ESPECÍFICAS:
1. VENTANA PD-L1 (SP142) ASSAY se ha homologado únicamente para los instrumentos BenchMark IHC/ISH con OptiView DAB IHC Detection Kit y OptiView Amplification Kit y no se ha aprobado para ningún otro instrumento o kit de detección.
2. Este ensayo no se ha validado para su uso con muestras de citología o de hueso decalcificadas.
3. El tejido del paciente se debe teñir en un plazo máximo de dos meses a partir del corte del bloque de tejido, en el caso de los tejidos de NSCLC, TNBC y amígdala, y de tres meses en el caso de los tejidos de carcinoma urotelial. Se ha observado pérdida de rendimiento de tinción con la tinción VENTANA PD-L1 (SP142) ASSAY en secciones de tejido que se han conservado a temperatura ambiente durante periodos superiores a los mencionados.
4. Con la presencia de artefactos, como manchas de DAB, manchas en blanco, puntos DAB y/o moteados, será preciso repetir la tinción siempre que interfieran con la interpretación de VENTANA PD-L1 (SP142) ASSAY. Compare siempre el portaobjetos con tinción de PD-L1 con el control de reactivo negativo para garantizar que la tinción de fondo es aceptable. Consulte las guías de interpretación para obtener más información al respecto.
5. Se ha observado la presencia de puntos DAB de forma ocasional en tejido de control de amígdala humana benigna y tejidos de cerebelo y de testículos, así como tinción focal nuclear en tejidos de páncreas normales (células acinosas) y de hipófisis (Tabla 6); no obstante, la tinción nuclear no se incorpora a la puntuación de la tinción con VENTANA PD-L1 (SP142) ASSAY.
6. Es posible que no todos los ensayos estén registrado en todos los instrumentos. Póngase en contacto con el representante local de servicio Roche para obtener más información.
PREPARACIÓN DE MUESTRAS:
Los tejidos FFPE que se procesan de forma habitual resultan adecuados para su uso con este anticuerpo primario cuando se utilizan con los kits de detección de VENTANA y los instrumentos BenchMark IHC/ISH. Se recomienda la fijación de tejido en formol tamponado neutro al 10% (NBF) durante al menos 6 horas y durante un máximo de 72 horas. Los tiempos de fijación inferiores a las 6 horas pueden provocar la pérdida de tinción en PD-L1. La cantidad usada de NBF debe ser de entre 15 y 20 veces el volumen de tejido. Ningún fijador se infiltrará en tejido sólido de más de 2 o 3 mm ni en tejido poroso de 5 mm durante un periodo de 24 horas. La fijación se puede llevar a cabo a temperatura ambiente (de 15 a 25°C).11,12
Con los fijadores como el alcohol-formol-ácido acético (AFA), PREFER y otros que contengan alcohol se ha observado una pérdida de tinción específica de PD-L1 en todos los tiempos de fijación analizados (entre 1 y 72 horas) y no se recomienda su uso con este ensayo. Consulte las guías de interpretación para obtener información más detallada sobre la repercusión de la preparación de muestras en la intensidad de la tinción de PD-L1.
Se deben realizar cortes de unos 4 μm de grosor y colocarse en portaobjetos de vidrio cargados positivamente. Los portaobjetos deben teñirse inmediatamente, ya que la antigenicidad de los cortes de tejido puede disminuir con el tiempo y verse comprometida una vez que han transcurrido tres meses desde el corte del bloque de parafina, en el caso de las muestras de carcinoma urotelial, y dos meses en el caso de las muestras de amígdala, NSCLC y TNBC (consulte las guías de interpretación y la sección sobre Características de rendimiento que aparece a continuación).
Se recomienda analizar controles positivos y negativos a la vez que las muestras desconocidas.
PRINCIPIO DEL PROCEDIMIENTO:
VENTANA PD-L1 (SP142) ASSAY contiene un anticuerpo primario monoclonal de conejo que se une a PD-L1 en secciones de tejido embebido en parafina. El anticuerpo específico se puede visualizar mediante OptiView DAB IHC Detection Kit (nº de cat. 760-700/06396500001) y, a continuación, a través de OptiView Amplification Kit (nº de cat. 760-099/06396518001 [50 pruebas] o 860-099/06718663001 [250 pruebas]).
Consulte la hoja de datos correspondiente para obtener más información.
PROCEDIMIENTO DE TINCIÓN:
Los anticuerpos primarios VENTANA se han desarrollado para su uso en los instrumentos BenchMark IHC/ISH junto con los kits de detección de VENTANA y sus accesorios. Con VENTANA PD-L1 (SP142) ASSAY se debe utilizar un procedimiento de tinción específico del ensayo. Consulte la Tabla 3 y la Tabla 4 para obtener información sobre el protocolo de tinción recomendado y los procedimientos de tinción necesarios. Cualquier diferencia en la forma de llevar a cabo los procedimientos de prueba recomendados pueden invalidar los resultados previstos. Deben emplearse los controles adecuados y documentarlos. Los usuarios que no sigan los procedimientos de prueba recomendados deberán hacerse responsables de la interpretación de los resultados de la paciente.
Este anticuerpo se ha optimizado para tiempos de incubación específicos, pero el usuario debe validar los resultados obtenidos con este reactivo.
Los parámetros de los procedimientos automatizados se pueden visualizar, imprimir y editar según el procedimiento descrito en el Manual del usuario del instrumento. Consulte la hoja de datos del kit de detección VENTANA correspondiente para obtener más detalles sobre los procedimientos de tinción de inmunohistoquímica.
Para obtener más información sobre el uso adecuado de este dispositivo, consulte la hoja de datos del dispensador en línea asociada al N/P 741-4860.
Tabla 3. Utilice los siguientes procedimientos de tinción con VENTANA PD-L1 (SP142) ASSAY en instrumentos BenchMark IHC/ISH
|
Instrumento |
Procedimiento de tinción |
|
BenchMark GX |
GX VENTANA PDL1 (SP142) |
|
BenchMark ULTRA o BenchMark ULTRA PLUS |
ULTRA VENTANA PDL1 (SP142) |
Tabla 4. Protocolo de tinción recomendado para el VENTANA PD-L1 (SP142) ASSAY y Rabbit Monoclonal Negative Control Ig con OptiView DAB IHC Detection Kit y OptiView Amplification Kit en instrumentos BenchMark IHC/ISH
|
Tipo de procedimiento |
Entrada de parámetros |
|
Horneado |
Opcional |
|
Anticuerpo (primario) |
VENTANA PD-L1 (SP142) seleccionado o Control Negativo Seleccionado |
|
Contratinción |
Hematoxylin II, 4 minutos |
|
Post-contratinción |
Bluing, 4 minutos |
RESUMEN Y EXPLICACIÓN:
VENTANA PD-L1 (SP142) ASSAY es un ensayo de inmunohistoquímica con un anticuerpo primario monoclonal de conejo anti-PD-L1 que detecta la proteína PD-L1. Roche/VENTANA Medical Systems, Inc. (VENTANA) y Roche/Genentech han desarrollado conjuntamente este ensayo para identificar a aquellos pacientes que tienen mayor probabilidad de responder al tratamiento con TECENTRIQ® (atezolizumab).
PD-L1 es una proteína transmembrana que reduce las respuestas inmunitarias a través de la unión a sus dos receptores de muerte programada 1 (PD-1) y B7.1.1 PD-1 es un receptor de inhibición cuya expresión se observa en los linfocitos T tras su activación y se mantiene en estados de estimulación crónica, como las infecciones crónicas o el cáncer.1 La unión de PD-L1 con PD-1 inhibe la proliferación de los linfocitos T, la producción de citocinas y la actividad citolítica, dando lugar a la inactivación funcional o al agotamiento de los linfocitos T.1,2 B7.1 es una molécula cuya expresión se observa en las células con antígeno y en los linfocitos T activados.1,2 La unión de PD-L1 a B7.1 en linfocitos T y células con antígeno puede participar en la reducción de las respuestas inmunitarias, como la inhibición de la activación de los linfocitos T y la producción de citocinas.2 La expresión de PD-L1 se ha observado en células inmunitarias y en células tumorales y se ha descrito que la expresión anómala de PD-L1 en células tumorales impide la inmunidad antitumoral, dando como resultado una evasión inmunológica.1,3 Por lo tanto, la interrupción de la vía PD-L1/PD-1 puede resultar una estrategia interesante para revitalizar la inmunidad específica frente a tumores de los linfocitos T que queda suprimida por la expresión de PD-L1 en el microentorno tumoral. Se ha documentado la asociación entre la expresión de PD-L1 en células tumorales (TC) o en células inmunitarias que infiltran el tumor (IC) y el beneficio clínico de los inhibidores de la vía PD-L1/PD-1 en diferentes tipos de cáncer.3-10
Atezolizumab es un anticuerpo monoclonal diseñado mediante fragmentos cristalizables (Fc) y humanizado que se une a PD-L1 y bloquea las interacciones con los receptores de PD-1 y B7.1.3-10
REFERENCIAS:
1. Blank C, Mackensen A. Contribution of the PD-L1/PD-1 pathway to T-cell exhaustion: an update on implications for chronic infections and tumor evasion. Cancer Immunol Immunother. 2007;56(5):739-745.
2. Butte MJ, Keir ME, Phamduy TB, et al. Programmed death-1 ligand 1 interacts specifically with the B7-1 costimulatory molecule to inhibit T cell responses. Immunity. 2007;27(1):111-122.
3. Herbst RS, Soria JC, Kowanetz M, et al. Predictive correlates of response to the anti-PD-L1 antibody MPDL3280A in cancer patients. Nature. 2014;515(7528):563-567.
4. Bellmunt J, Mullane SA, Werner L, et al. Association of PD-L1 expression on tumor- infiltrating mononuclear cells and overall survival in patients with urothelial carcinoma. Ann Oncol. 2015;26(4):812-817.
5. Brahmer JR, Drake CG, Wollner I, et al. Phase I study of single-agent anti- programmed death-1 (MDX-1106) in refractory solid tumors: safety, clinical activity, pharmacodynamics, and immunologic correlates. J Clin Oncol. 2010;28(19):3167-3175.
6. Fehrenbacher L, Spira A, Ballinger M et al. Atezolizumab versus docetaxel for patients with previously treated non-small-cell lung cancer (POPLAR): a multicentre, open-label, phase 2 randomised controlled trial. Lancet. 2016;387(10030):1837-1846.
7. Powles T, Eder JP, Fine GD, et al. MPDL3280A (anti-PD-L1) treatment leads to clinical activity in metastatic bladder cancer. Nature. 2014;515(7528):558-562.
8. Rosenberg JE, Hoffman-Censits J, Powles T, et al. Atezolizumab in patients with locally advanced and metastatic urothelial carcinoma who have progressed following treatment with platinum-based chemotherapy: a single-arm, multicentre, phase 2 trial. Lancet. 2016;387(10031):1909–20.
9. Topalian SL, Hodi FS, Brahmer JR, et al. Safety, activity, and immune correlates of anti-PD-1 antibody in cancer. N Engl J Med. 2012;366(26):2443-2454.
10. Schmid P, Adams S, Rugo HS, et al. Atezolizumab and Nab-Paclitaxel in Advanced Triple-Negative Breast Cancer. N Engl J Med. 2018;379(22):2108-2121.
11. Carson FL, Cappellano C. Histotechnology; A Self-Instructional Text, 5th edition. American Society for Clinical Pathology Press; 2020, 2022.
12. Roche PC, Hsi ED. Immunohistochemistry-Principles and Advances. Manual of Clinical Laboratory Immunology, 6th edition. In: NR Rose, ed. ASM Press; 2002.
13. Occupational Safety and Health Standards: Occupational exposure to hazardous chemicals in laboratories. (29 CFR Part 1910.1450). Fed. Register.
14. Directive 2000/54/EC of the European Parliament and Council of 24 June 2020 on the protection of workers from risks related to exposure to biological agents at work.
15. Anatomic Pathology Checklist. College of American Pathologists. Jul 28, 2015.
16. CLSI. Quality assurance for design control and implementation of immunohistochemistry assay: approved guidelines. 2nd edition Wayne, PA, USA: Clinical and Laboratory Standards Institute; 2011.
Nota: En este documento se ha usado el punto como separador decimal para marcar el borde entre la parte entera y la parte fraccionaria de los numerales con decimales. No se han usado separadores para las unidades de millar.
El resumen de los aspectos de seguridad y rendimiento se puede ver a continuación: https://ec.europa.eu/tools/eudamed
Símbolos:
VENTANA usa los siguientes símbolos y signos además de los indicados en la norma ISO 15223-1 (para USA: consulte elabdoc.roche.com/symbols para obtener más información).
|
GTIN |
Número de artículo de Global Trade |
Propiedad intelectual:
VENTANA, BENCHMARK y OPTIVIEW son marcas comerciales de Roche. Todos los demás nombres de productos y marcas comerciales pertenecen a sus respectivos propietarios.
© 2025 Ventana Medical Systems, Inc.
Información de contacto:
ROCHE DIAGNOSTICS GMBH
Sandhofer Strasse 116
68305 Mannheim Germany
+800 5505 6606